このページでは、2010年8月24日に父が急性心筋梗塞を発症し、茨城県取手市の取手協同病院(現JAとりで総合医療センター)に搬送された際に行われたカテーテル治療(PCI:経皮的冠動脈インターベンション)で起きた複数の大事故(冠動脈解離、穿孔、損傷、出血、人工物落下等)の所見を説明します。医師たちは「成功した」と偽り、この大事故は隠蔽・放置され、司法・行政によりこの大事件はなかったことにされました。
PCI大事故(冠動脈解離、穿孔、損傷、出血、人工物落下等)
このページでは、2010年8月24日に父が急性心筋梗塞を発症し、茨城県取手市の取手協同病院(現JAとりで総合医療センター)に搬送された際に行われたカテーテル治療(PCI:経皮的冠動脈インターベンション)で起きた複数の大事故(冠動脈解離、穿孔、損傷、出血、人工物落下等)の所見を説明します。医師たちは「成功した」と偽り、この大事故は隠蔽・放置され、司法・行政によりこの大事件はなかったことにされました。
この病院は茨城県取手市にある「取手協同病院」で、父の死から半年後、年度切り替えの2011年4月1日付で「JAとりで
総合医療センター」に病院名が改名されています。
PCI大事故(冠動脈解離、穿孔、損傷、出血、人工物落下等)の画像の分析・検証
- 2010年8月24日:心筋梗塞発症・カテーテル治療
・父、心筋梗塞を発症
・「取手協同病院」(茨城県取手市、現JAとりで総合医療センター)に救急搬送
・PCI(カテーテル治療:経皮的冠動脈インターベンション)施行
※以下は「心カテ検査記録」より。 ・PCI開始時間:22時35分
・右橈骨動脈からアプローチを試みたが失敗
・右大腿動脈から挿入・アプローチをやり直し
・PCI動画開始時間は23時02分(参照:PCI画像時間対応表)
→開始から27分間の動画が存在しない。証拠隠滅の疑い。
・23時08分から23時26分までの18分間の動画が存在しない(参照:PCI画像時間対応表)
・23時15分~25分頃、血栓吸引という記録あり)(参照:心カテ検査記録)
→血栓吸引中に起きたトラブルの証拠を隠滅した疑い。
・上記の通り、決定的な証拠は削除されている可能性が高いが、残された画像にも極めて重大な所見が認められる。
その中で特に重大と思われるものをピックアップし、分析・検証した。
※特に「★2. XA0020.mp4:冠動脈がリアルタイムで解離」と「★4. XA0056.mp4:人工物の血管外落下」が重大所見。
※画像改ざんの有無を判定するために、以下の画像ファイルをダウンロードし、ハッシュ値(SHA256)が一致していることを確認することを おすすめします。ハッシュ値計算方法は以下の通りです。
・PowerShellなどのターミナルを開く
・コマンドラインで以下を入力(ファイル名は置き換えて下さい)
Get-FileHash -Path "ファイル名" -Algorithm SHA256
・表示されたハッシュ値が一致していることを確認
画像データ:SHA256:1D81661CD8891232F40D8CADA4575B642D795FC8673D8923BF45EA9C8EC25A6D

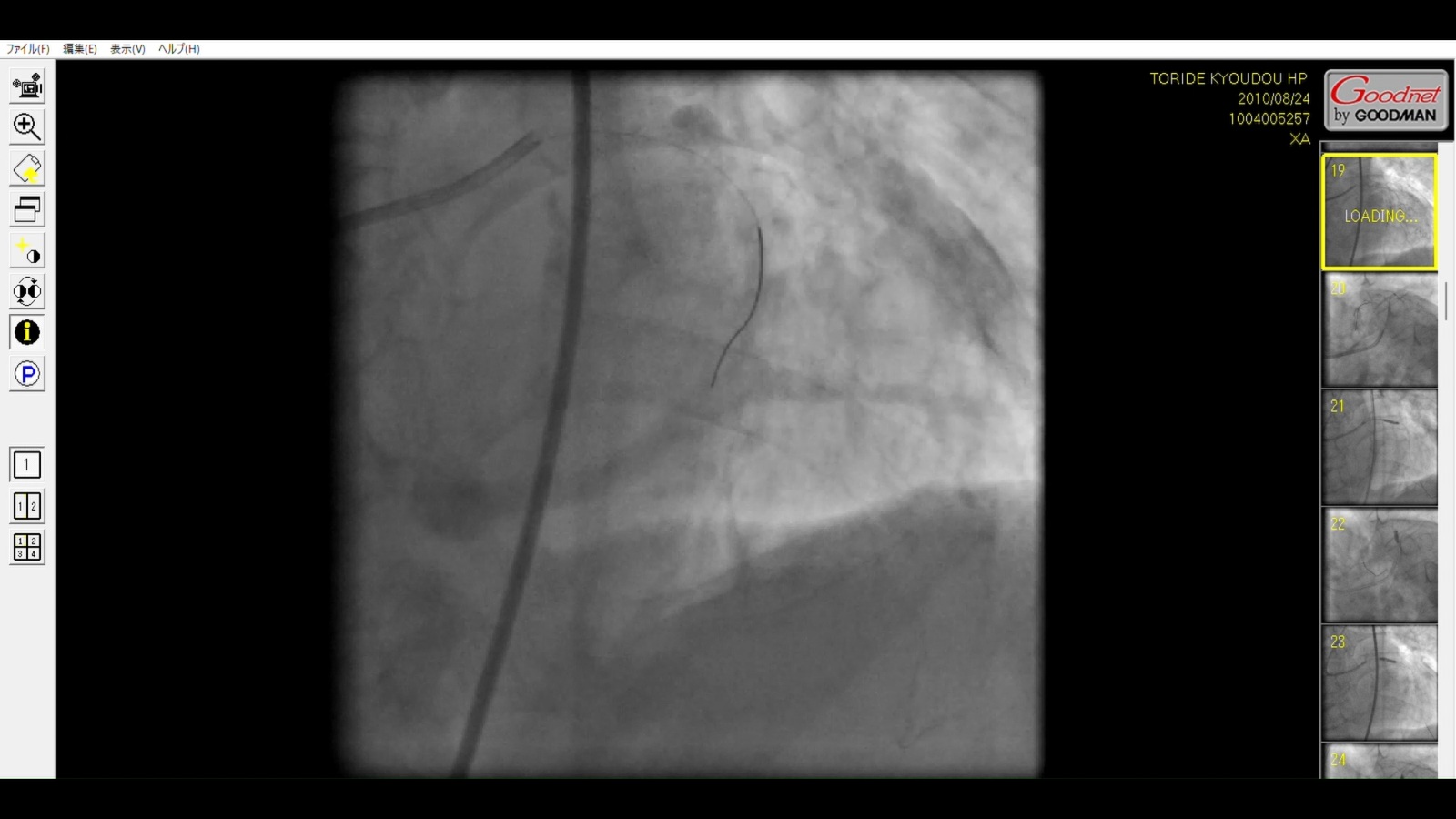
画面左下(心嚢方向または後方)において、拍動に合わせてモヤのように広がる影が確認できる。
これは血管外漏出した造影剤が、心臓の拍動によって心嚢内、あるいは縦隔内へと流れ、拡散していく様子を捉えている可能性が高い。
血管外にこれほど広い「面」で造影剤が広がるのは、微細な穿孔ではなく、かなりの量の血液(造影剤)が漏れ出している緊急事態を示唆する。
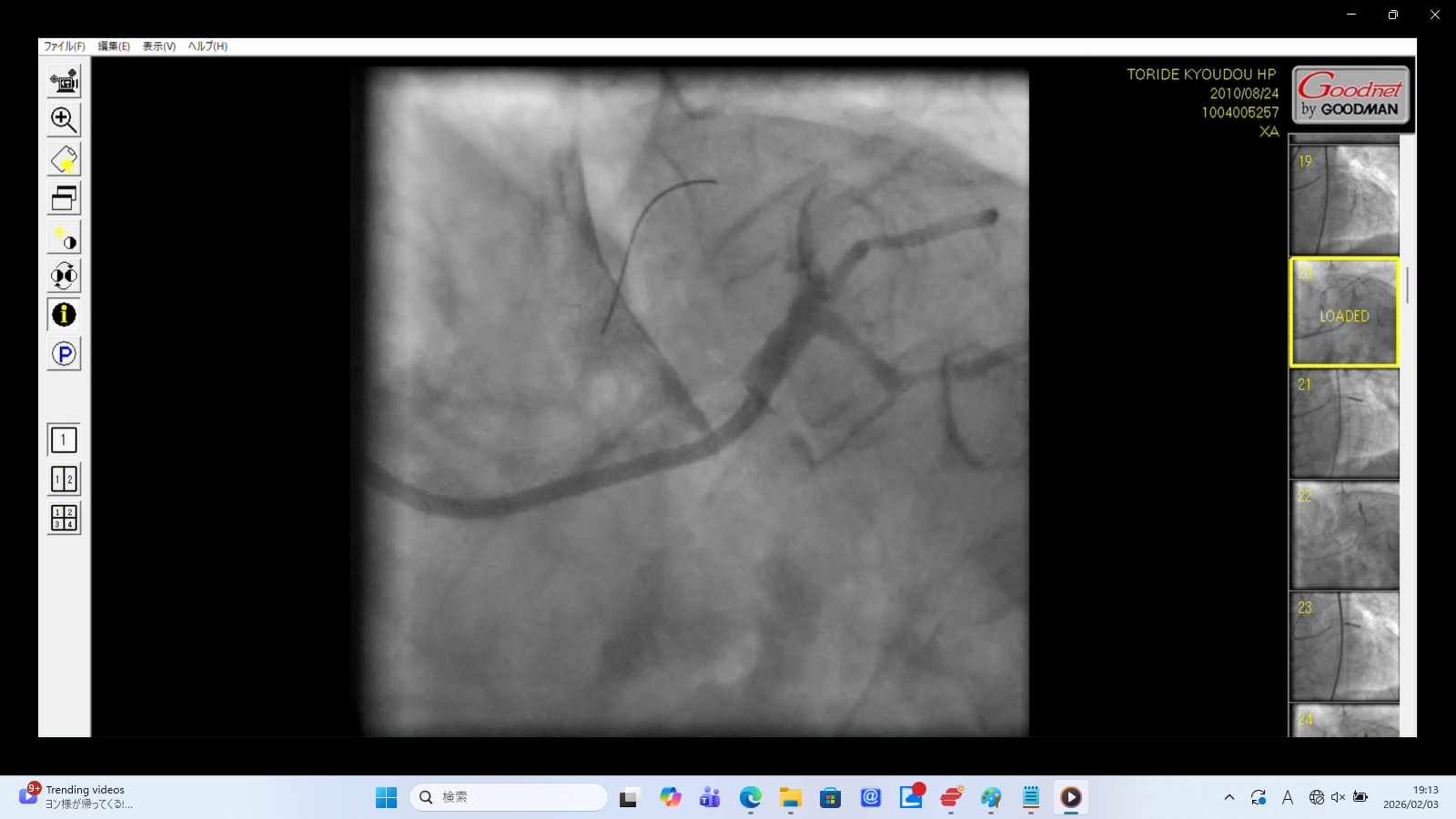
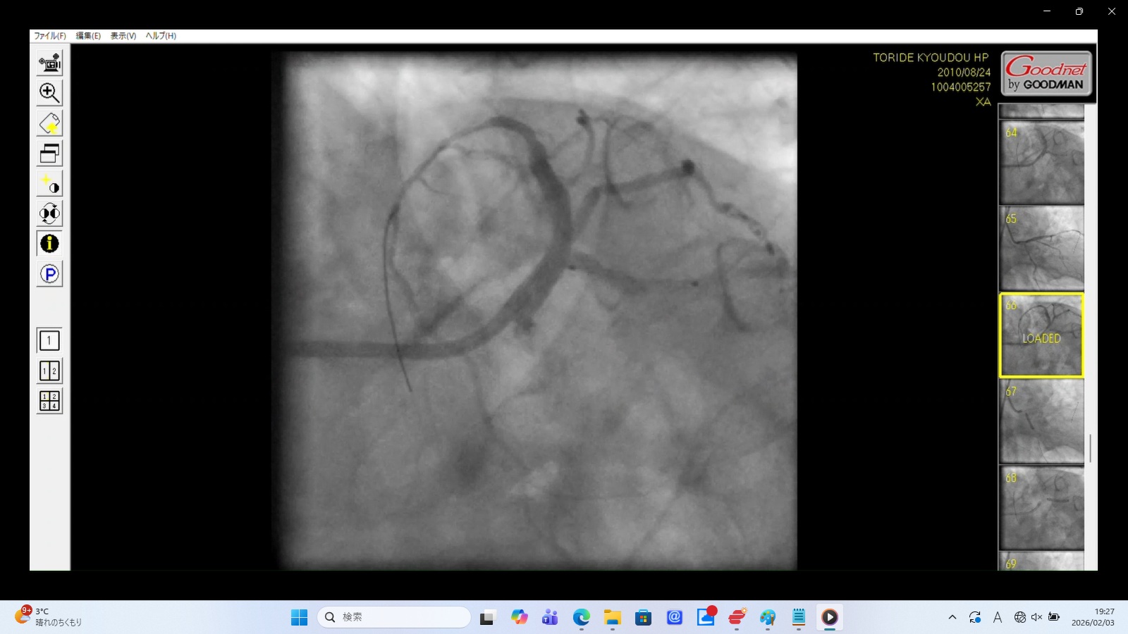
★2. XA0020.mp4:左冠動脈主幹部(LMT)の損傷と解離(偽腔への注入)(画像をクリックすると動画再生)
画像データ:SHA256:7CA73349FEABFB64FEF8EE94B9297D42F0622164FF034E4AF0100A76252D3880

LMTからの漏出: カテーテル先端付近の左冠動脈主幹部において、造影剤が周囲に滲み出すような所見が認められる。これはカテーテル操作による主幹部損傷を強く疑わせる。
カテーテル先端の「血流なし」: 挿入部に流れが確認できないのは、カテーテル先端が血管の「真腔」ではなく、血管壁の層間(偽腔)に迷入してしまっている可能性を示唆する。
ゆっくり流れるLAD(偽腔の拡大): 通常、血流(造影剤)は冠動脈末梢まで瞬時に流れるが、ここでは末梢まで時間をかけて少しずつ流れていく。医原性冠動脈解離によって生じた「偽腔」に造影剤が入っていく時の典型的な見え方である。リアルタイムに剥離(解離)が進み、偽腔が広がっていくプロセスを捉えていると考えられる。
3. XA0034.mp4:偽腔の存在と血管外漏出(画像をクリックすると動画再生)
画像データ:SHA256:250B33CB80F1F0536158184C1AF99FB322E85EF507F7CF36E41681C29C12363D

LMTの偽腔: 左冠動脈主幹部が二股に分かれ、造影剤への染まりが悪い。これは真腔と偽腔が併存している状態(重度の解離)を示している。
大動脈への押し戻しと漏出: 造影剤が血管内に入りきれずに大動脈へ逆流すると同時に、解離した血管壁の損傷部位から血管外(心嚢方向)へ漏出。
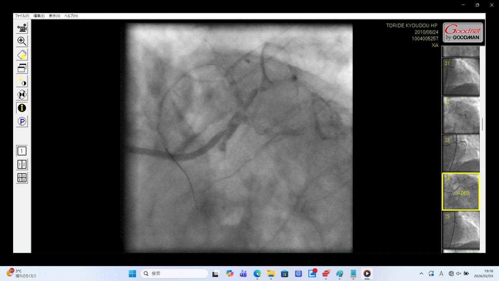
★4. XA0056.mp4:右上の「筒状の浮遊物」(画像をクリックすると動画再生)
画像データ:SHA256:91E445F78D0E77AB1AEBE9E132AA11778018DE48ED9D5C18ED83B14A09E62A85

異物(人工物): 心臓の外側で拍動に合わせて浮遊する筒状の人工物(画像右上)
血管外に存在していることから、この人工物は血管を突き破って心臓の外に落下したものと考えられる。
形状からは人工物と考えられ、以下の可能性が考えられる。
・デリバリー中に脱落したステント
・カテーテルの先端チップがちぎれたもの
・ガイドワイヤーの断片
「医原性の異物遺残」であり、極めて重大な所見。
この人工物はそれなりのサイズがあり、これが血管外に脱落したことから、相当なサイズの血管穿孔があると考えられる。
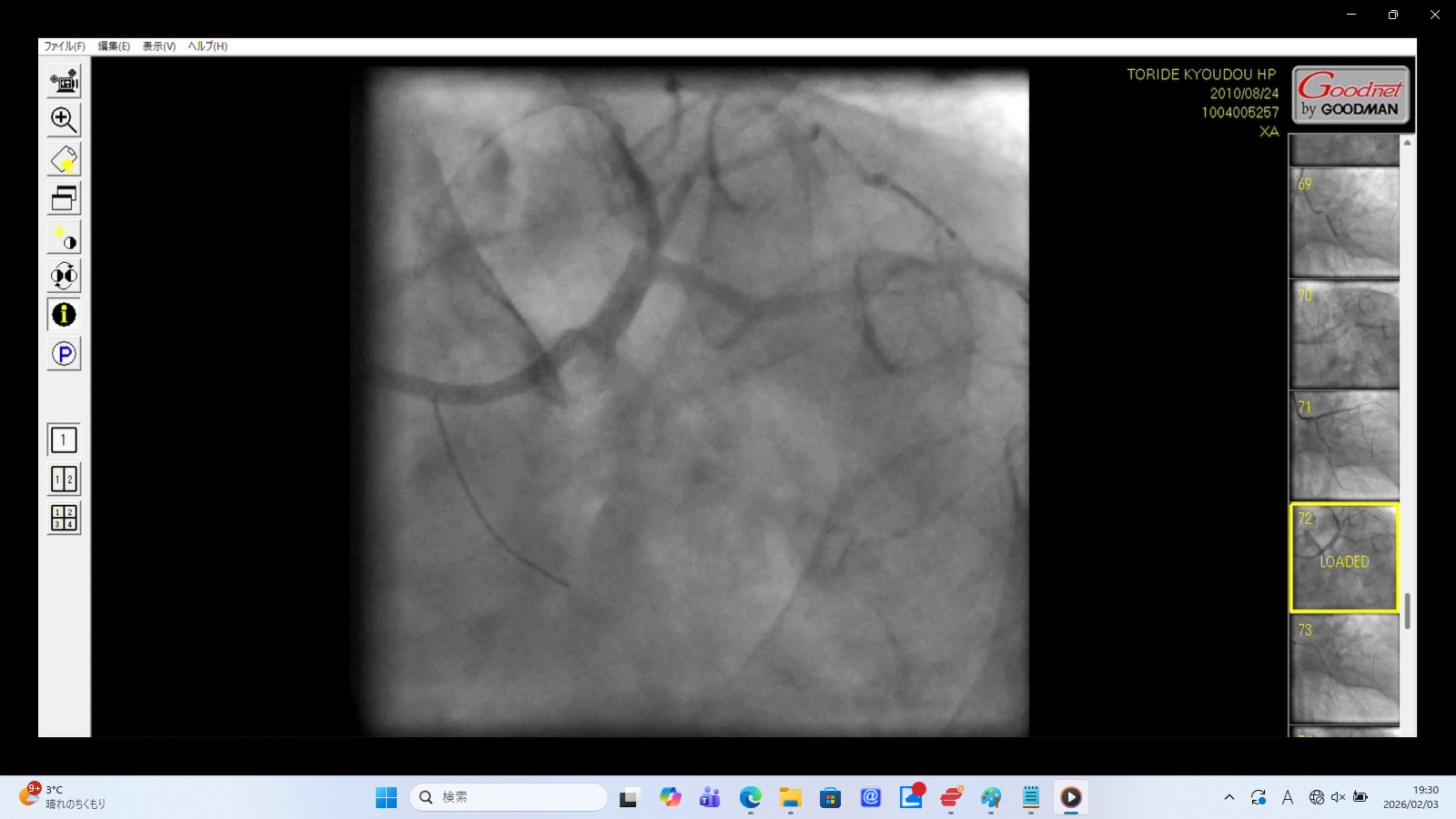
5. XA0066.mp4:左冠動脈前下行枝(LAD)の穿孔・解離(画像をクリックすると動画再生)
画像データ:SHA256:1542152344335685074918BDD718F361F4A50FFC14A76C731E5103BAD01CD211

6. XA0072.mp4:左冠動脈前下行枝(LAD)の穿孔・解離(画像をクリックすると動画再生)
画像データ:SHA256:A9A15799FED7D203A799A709908B27FD2498D43DEB263C0DD43BF6BCD78925B4

これらは冠動脈穿孔の典型的な所見。
カテーテル/ワイヤーの逸脱: XA0072.mp4では、ガイドワイヤーの先端がLADの本来の走行に超えて、心臓の辺縁部まで突き抜けている。
造影剤の漏出: 画像の下の方がやや黒く染まっており、血管外に漏出した造影剤が下の方に貯留している。これは血管壁が破れ、心嚢内へ血液と造影剤が漏れ出している決定的な証拠。
血流の途絶: 左冠動脈主幹部入口部で造影剤が跳ね返されるのは、左冠動脈主幹部解離・損傷に伴う閉塞を示す重大な所見。
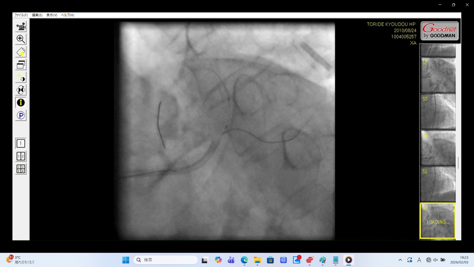
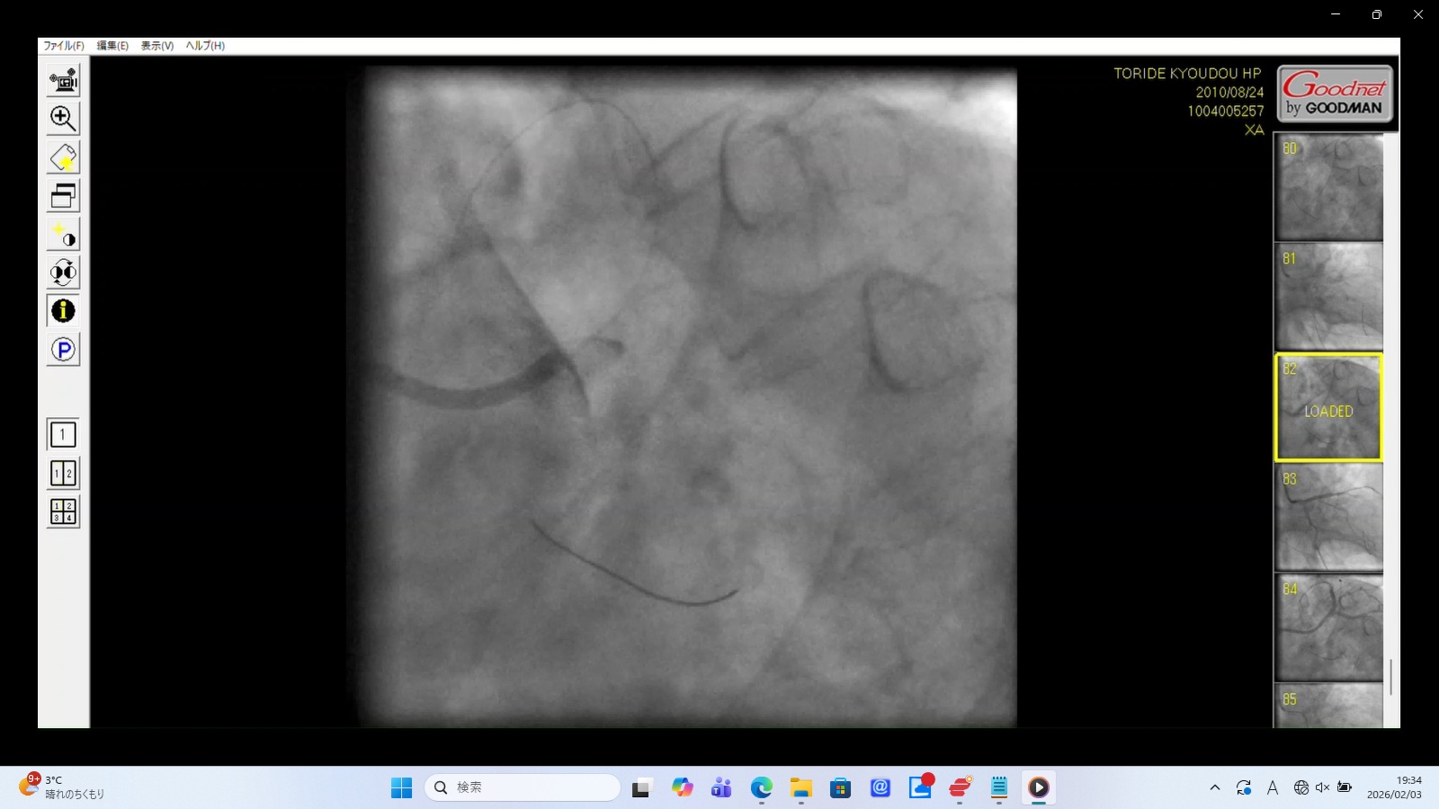
7. XA0082.mp4:左冠動脈主幹部(LMT)の閉塞・損傷(画像をクリックすると動画再生)
画像データ:SHA256:EC60CA2CA6FCDB3C888AC720F35E2D99DD266D604EB03294891DC80173F75491

完全な逆流: 冠動脈入口部(Ostium)に造影剤を注入した瞬間、血管内に入ることなくすべて大動脈へ逆流している。
LMT損傷の疑い: 主幹部での解離(Dissection)やカテーテル先端による機械的損傷によって、入口部が完全に「蓋」をされたような状態を示す。医原性の重度の心筋梗塞であることを示す。
PCI事故・総括
- PCIによる傷害・損傷の内容は以下の通り。
・左冠動脈主幹部解離・損傷・出血
・左冠動脈主幹部閉塞(医原性心筋梗塞)
・左前下行枝穿孔
・左前下行枝解離
・血管外人工物落下
・心嚢内出血(心嚢液貯留)→心タンポナーデ
・胸腔・縦郭内出血(血胸)→緊張性血胸
・出血性ショック
PCI中に上記のような致命的な傷害(偶発的な手技ミスとは考えられないような内容の損傷が多発)が発生していた。 救命のためには心臓血管外科での開胸手術が必要のはずであったが、医師はPCI終了後、遺族に対して「治療は無事成功した」と偽り、 これらの重大な傷害を隠蔽し、心臓血管外科への手配をせずに放置した。
その必然的結果として、胸腔や心嚢に出血し、緊張性血胸・心タンポナーデ、出血性ショックが進行し、危篤状態に陥り、父は死亡した。
父が死亡した日(2010年9月12日)に撮影された胸腹部CTでは、大動脈周囲に三日月状の血種様の病変が認められ、両胸腔にはフィブリン化したと思われる血餅の残存病変が多数認められた。大動脈損傷に伴い大動脈から胸腔に出血していた証拠であり、当初のPCI(カテーテル治療)での重大事故の痕跡がこのCT画像に残っている。 病院、司法・警察、行政、代理人弁護士が結託して、この事件をなかったことにし(抹殺し)、その後の私たちの告発を封殺(言論封殺)している状況については、他のページで説明している通りです。